脳ドックについて 
くも膜下出血、脳出血、脳梗塞などの脳血管疾患は、急激に意識を失って倒れることが多く、厚生労働省の平成20年人口動態統計によると、日本人の死亡原因の第3位(*)となるほど、命の危険をともなう疾患です。
脳血管疾患や脳腫瘍などの脳疾患の有無を調べる検査として、一般的に、頭部CT、MRI、MRAと頸部MRA、頸動脈エコーなどが用いられています。
頭痛、めまい、ふらつき、しびれなどの自覚症状がある方は、この機会に一度検査してみませんか?
当院の脳ドックメニュー
検査内容は以下のとおりです。
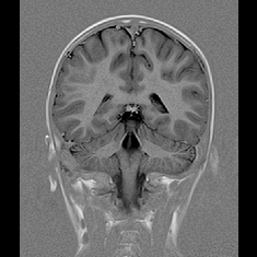
① MRI
② MRA
③ 血液検査
④ 尿検査
⑤ 身体測定
⑥ 心電図
⑦ 頸動脈エコー
⑧ 高次機能検査
① 頭部
②頭部・頸部
③肝機能、腎機能、電解質、総コレステロール、中性脂肪、HDLコレステロール、LDLコレステロール、血糖値、HbA1c、凝集能、粘着能、ほか
④ 糖、蛋白、潜血、比重、ウロビリノーゲン、ビリルビン、PH、ケトン体、白血球
⑤身長、体重、BMI、血圧、
所要時間は2~3時間ほどです。
検査結果は、次回来院時に詳しく説明させていただきます。
万一ご来院いただけない場合は、2週間以内に郵送にてお知らせすることも可能です。
費用は、35000円(税別)となります。
お申し込みは、TEL 011-382-3333 にて受付予約しております。
事前に問診票への記入が必要です。問診票はこちらからダウンロードできます。
うまくダウンロードできない場合は、問診票をお送りしますので電話にてお伝えください。問診票は脳ドック当日必ずご持参下さい。
1 脳ドック用の問診票ダウンロードはこちら!!
また、脳ドックの検査についての詳細な注意事項や当日の流れはこちらからご覧ください。

診療時間・交通案内
2025年7月09日